Gremio médico mexicano desaprovecha uso de la resonancia magnética funcional: experto

Es más segura que la tomografía, ya que no utiliza radiación ionizante, asegura
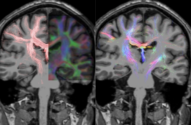
Foto: Luis Concha Loya

Eirinet Gómez

En México está subutilizada la resonancia magnética funcional (fMRI, por sus siglas en inglés), técnica que mide la actividad cerebral por medio de la detección de cambios en el flujo sanguíneo; es clave para la investigación, la precisión diagnóstica y la intervención de enfermedades del cerebro, como el Parkinson.

Luis Concha Loyola, investigador del Instituto de Neurobiología de la Universidad Nacional Autónoma de México (UNAM), expresó lo anterior durante la conferencia ¿Qué es la neuroimagen?, sus usos y aplicaciones, que forma parte del ciclo Las neurociencias en México y el mundo, organizado por El Colegio Nacional.

Destacó que pese a las ventajas que ofrece la fMRI, se le da poco uso clínico respecto de otras técnicas de imagen neuroanatómica. “Es más segura que la tomografía por emisión de positrones y que la tomografía computarizada, ya que no utiliza radiación ionizante”, explicó.

Otro punto a favor es que los equipos actuales han alcanzado una calidad tan alta que proporcionan “un nivel exquisito de detalle” de las diferentes estructuras cerebrales, como el grosor de la corteza, el nervio óptico y el cerebelo. También indica la conectividad cerebral a partir de ciertos estímulos.

Concha Loyola es parte del Laboratorio Nacional de Imagen por Resonancia Magnética (Lanirem) de la UNAM, con sede en Juriquilla, Querétaro. Considera que el gremio médico es la causa del desaprovechamiento de este recurso técnico. “Recibimos pacientes de la Ciudad de México, Guadalajara, Guanajuato y San Luis Potosí, lo que nos deja ver que la responsabilidad de que no se cuente con más estudios de este tipo recae en quienes deben indicarlos”, comentó.


Detección de epilepsia

La resonancia magnética funcional opera bajo el principio de que cuando una región del cerebro se activa necesita más oxígeno para alimentar a las neuronas en funcionamiento. Este cambio en la demanda de oxígeno causa un aumento en el flujo sanguíneo hacia esa área, lo que se puede detectar con un escáner de fMRI.

Dependiendo de la marca, un dispositivo de estos tiene un diseño distintivo, pero generalmente consta de un tubo grande y cilíndrico rodeado por un imán potente que forma un campo magnético.

El escáner generalmente tiene una computadora conectada que procesa las señales que obtiene y produce imágenes en tiempo real.

“Este campo magnético alinea los protones en el agua del cuerpo, y cuando se envían ondas de radio, estos protones se desalinean y al volver a acomodarse emiten señales que son captadas por una computadora donde se forman”.

Esta técnica se puede emplear en el estudio y diagnóstico de enfermedades como la epilepsia, accidentes cerebrovasculares, demencias como el Alzheimer, esclerosis múltiple, depresión y trastorno del espectro autista, entre otros.

Además, la fMRI también ha demostrado su utilidad en estudios sobre la memoria, el aprendizaje, el lenguaje y la toma de decisiones, ya que contribuye a comprender mejor el funcionamiento normal del cerebro y las bases de la cognición humana.

El académico consideró que para lograr una fMRI como se conoce actualmente se requirió de avances científicos multidisciplinarios que datan de los años 40; en tanto, la contribución de una docena de científicos “es una de las técnicas que más premios Nobel tiene alrededor de ella”.

Destacó la aportación de Raymond Damadian, pionero en el desarrollo de la resonancia magnética para uso médico. Fundó una compañía que en los años 70 diseñó el aparato conocido como La Indomable, capaz de combinar la resonancia magnética con aplicaciones clínicas.

Desde entonces, los equipos han evolucionado tanto que en la actualidad pueden hacer análisis híbridos; por ejemplo, resonancia magnética funcional, con tomografía por emisión de positrones (PET) o con electrofisiología.

“En las neurociencias nos gusta la multidisciplina, porque junta herramientas para obtener información del mismo fenómeno, pero desde diferentes puntos”, resaltó el investigador.

Casi todos los pacientes que requieren un estudio de actividad cerebral pueden someterse a una fMRI, con excepción de los que tienen dispositivos cardiacos, implantes metálicos, prótesis articulares o clips quirúrgicos, ya que podrían dañarse o interferir con el campo magnético.

En México son pocos los sitios donde se practica, entre ellos el Hospital de Especialidades de la Ciudad de México, el Instituto Nacional de Neurología y Neurocirugía Manuel Velasco Suárez, el Lanierm de la UNAM y un par de nosocomios privados en Monterrey, Guadalajara y la Ciudad de México.

“Para que esta técnica se popularice necesitamos que haya más lugares con aparatos que la hagan y que los doctores los pidan. Nosotros ya nos hemos dado a la tarea de informar al gremio médico sobre las virtudes que tiene para aumentar la precisión diagnóstica o de intervención”, concluyó el especialista de la Universidad Nacional Autónoma de México.



Edición: Estefanía Cardeña


Lo más reciente

Sheinbaum anuncia plan integral de apoyo al cine mexicano

Proyectos realizados en el país tendrán incentivo fiscal de 30 % del ISR

La Jornada Maya

Sheinbaum anuncia plan integral de apoyo al cine mexicano

Larry, el gato de Downing Street, cumple 15 años como símbolo felino de estabilidad política

El célebre “Jefe Ratonero del Gabinete” ha servido a seis primeros ministros y se mantiene como figura entrañable del poder británico

Ap

Larry, el gato de Downing Street, cumple 15 años como símbolo felino de estabilidad política

Arquitectos presentan el nuevo PDU para ordenar el crecimiento de Playa del Carmen

El plan urbano propone una visión participativa y sostenible, abierta a ajustes mediante consulta ciudadana

Rosario Ruiz Canduriz

Arquitectos presentan el nuevo PDU para ordenar el crecimiento de Playa del Carmen

Color y tradición marcan los primeros paseos del Carnaval Carmen 2026 en Playa Norte

Comparsas, batucadas y carros alegóricos animaron el arranque; saldo blanco y amplia participación ciudadana

La Jornada Maya

Color y tradición marcan los primeros paseos del Carnaval Carmen 2026 en Playa Norte